Mòn Men Răng: Hiểu Rõ Nguyên Nhân, Nhận Biết Sớm & Giải Pháp Bảo Vệ
Mòn men răng là tình trạng lớp bảo vệ cứng chắc bên ngoài của răng bị bào mòn, dẫn đến răng nhạy cảm, ố vàng và dễ bị tổn thương. Theo ước tính, tỷ lệ mòn men răng vĩnh viễn ở người trưởng thành có thể dao động từ 20% đến 45%. Điều đáng nói là men răng một khi đã mất đi không thể tự phục hồi hay tái tạo lại được. Bài viết này sẽ cung cấp cho bạn kiến thức toàn diện để nhận biết sớm, ngăn ngừa và có giải pháp chăm sóc đúng cách, đồng thời giới thiệu công cụ hỗ trợ đắc lực từ thương hiệu Việt KaKa.
Mòn Men Răng Là Gì? Tại Sao Lại Nguy Hiểm?
Men răng là lớp vật liệu cứng nhất trong cơ thể người, bao bọc và bảo vệ ngà răng cùng tủy răng bên trong khỏi sự tấn công của vi khuẩn, axit và nhiệt độ. Mòn men răng xảy ra khi lớp bảo vệ này dần bị bào mòn do các tác nhân hóa học (axit) hoặc cơ học.
Hậu quả nghiêm trọng khi men răng bị mòn:
-
Răng trở nên cực kỳ nhạy cảm: Bạn sẽ dễ bị ê buốt, khó chịu khi ăn uống đồ nóng, lạnh, ngọt hoặc chua.
-
Mất thẩm mỹ và nguy cơ sâu răng cao: Men răng mòn khiến ngà răng màu vàng bên dưới lộ ra, răng ố vàng. Lớp bảo vệ bị mất đi cũng tạo điều kiện cho vi khuẩn tấn công, dẫn đến sâu răng.
-
Suy yếu cấu trúc răng: Răng dễ bị mẻ, nứt, thậm chí có nguy cơ mất răng nếu tình trạng mòn ăn sâu vào tủy.

Răng nhạy cảm hơn khi bị mòn men răng
Các Loại Mòn Men Răng Thường Gặp
Dựa trên nguyên nhân, mòn men răng được phân thành 4 nhóm chính:
| Loại Mòn Răng | Nguyên Nhân Chính | Đặc Điểm Nhận Biết |
|---|---|---|
| Mòn răng sinh lý | Ma sát tự nhiên giữa các răng trong quá trình ăn nhai. | Mặt nhai của răng hàm bị dẹt, mòn đầu tiên. |
| Mòn răng hóa học | Tiếp xúc với axit từ thực phẩm (nước ngọt, trái cây chua) hoặc axit dạ dày (trào ngược). | Mòn lan tỏa, bề mặt răng nhẵn bóng, thường đi kèm ê buốt. |
| Mòn răng bệnh lý | Lực cơ học quá mức từ bên ngoài: nghiến răng, đánh răng quá mạnh, dùng răng cắn vật cứng. | Răng mòn không đều, có thể kèm theo nứt, mẻ và đau cơ hàm (nếu do nghiến răng). |
| Tiêu cổ răng (mòn cổ răng hình chêm) | Đánh răng sai cách trong thời gian dài (chải ngang với lực mạnh). | Vết khuyết hình chữ V ở sát viền nướu, rất nhạy cảm. |
5 Dấu Hiệu Cảnh Báo Men Răng Của Bạn Đang Bị Bào Mòn
Hãy chú ý kiểm tra nếu bạn gặp phải một trong những dấu hiệu sau:
-
Răng đổi màu vàng ngà: Là dấu hiệu rõ ràng nhất cho thấy lớp men trong suốt đã mỏng đi, để lộ lớp ngà răng màu vàng bên dưới.
-
Ê buốt hoặc đau nhói khi ăn uống: Cảm giác ê buốt xuất hiện khi ăn đồ nóng, lạnh, ngọt hoặc chua là tín hiệu báo động men răng đã bị tổn thương.
-
Bề mặt răng thay đổi: Răng mất đi độ bóng, xuất hiện các vết lõm nhỏ trên mặt nhai hoặc các cạnh răng trở nên thô ráp, dễ mẻ.
-
Hình dáng răng biến dạng: Răng trông ngắn hơn, mặt nhai bị dẹt, hoặc có vết khuyết hình chữ V rõ rệt ở vùng cổ răng.
-
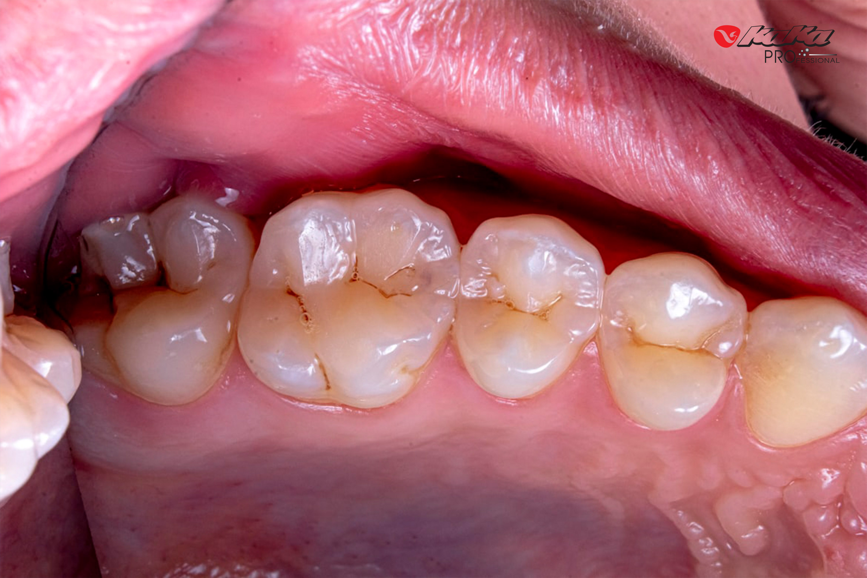
Xuất hiện các lỗ sâu nhỏ: Men răng yếu tạo điều kiện cho vi khuẩn hình thành các lỗ sâu, ban đầu có thể là những đốm trắng đục hoặc đen nhỏ.

Xuất hiện các lỗ sâu cũng là một dấu hiệu của mòn men răng
Nguyên Nhân Gây Mòn Men Răng: Đến Từ Thói Quen Hàng Ngày
Hiểu rõ nguyên nhân là bước đầu tiên để phòng ngừa hiệu quả:
-
Chế độ ăn uống giàu axit và đường: Các thủ phạm hàng đầu bao gồm nước ngọt có ga, nước trái cây chua (cam, chanh), rượu vang, kẹo, và đồ ăn vặt nhiều tinh bột. Một nghiên cứu chỉ ra người thường xuyên uống nước ngọt có nguy cơ mòn răng cao gấp 3 lần.
-
Vệ sinh răng miệng sai cách: Đánh răng quá mạnh, sử dụng bàn chải lông cứng hoặc chải theo chiều ngang là nguyên nhân trực tiếp gây mòn men và tiêu cổ răng. Hiệp hội Nha khoa Hoa Kỳ (ADA) khuyến cáo nên dùng bàn chải lông mềm và chải răng nhẹ nhàng theo chuyển động tròn.
-
Các thói quen xấu: Nghiến răng khi ngủ (bruxism), dùng răng để cắn mở đồ vật, cắn móng tay tạo ra lực ma sát cực lớn làm mòn răng.
-
Các vấn đề sức khỏe: Bệnh trào ngược dạ dày thực quản (GERD) khiến axit dạ dày trào lên miệng. Tình trạng khô miệng (do bệnh lý, tuổi tác hoặc tác dụng phụ của thuốc) làm giảm lượng nước bọt - chất trung hòa axit tự nhiên quan trọng.
Giải Pháp Phục Hồi & Điều Trị Tại Nha Khoa
Vì men răng không thể tự mọc lại, các biện pháp tại nha khoa tập trung vào việc ngăn chặn tiến triển và phục hồi chức năng, thẩm mỹ cho răng:
-
Liệu pháp Fluoride chuyên nghiệp: Bác sĩ sẽ bôi các chất fluoride nồng độ cao giúp tái khoáng, củng cố cấu trúc men răng còn lại, giảm ê buốt và ngừa sâu răng.
-
Trám răng (hàn răng): Áp dụng cho các vết mòn nhẹ, lỗ sâu nhỏ. Vật liệu trám composite màu răng sẽ lấp đầy vùng khuyết, bảo vệ ngà răng và khôi phục hình dáng răng.
-
Dán sứ Veneer: Đối với răng mòn nhiều gây mất thẩm mỹ (ố vàng, hình dáng xấu), mặt dán sứ mỏng được gắn lên bề mặt răng để cải thiện cả hình thể và màu sắc.
-
Bọc răng sứ (chụp mão răng): Khi răng bị mòn nghiêm trọng, suy yếu, một mão răng sứ sẽ được chế tạo để bọc toàn bộ thân răng thật, bảo vệ tối đa và phục hồi hoàn toàn chức năng ăn nhai.
Lưu ý: Việc lựa chọn phương pháp nào cần được bác sĩ chuyên khoa thăm khám, chẩn đoán nguyên nhân và đánh giá mức độ trước khi đưa ra phác đồ phù hợp.
Cách Phòng Ngừa & Chăm Sóc Tại Nhà Hiệu Quả
Bảo vệ men răng bắt đầu từ những thói quen đúng đắn hàng ngày:
Chải răng đúng cách với công cụ phù hợp:
-
Sử dụng bàn chải lông mềm: Lông bàn chải cứng là một trong những tác nhân cơ học gây mòn men và tổn thương nướu. Bàn chải KaKa với thiết kế lông siêu mềm PBT cao cấp, đầu lông được mài bo tròn giúp làm sạch sâu mà vẫn dịu nhẹ, bảo vệ men răng và nướu tối đa.
-
Kỹ thuật chải đúng: Chải nhẹ nhàng theo chuyển động tròn hoặc dọc thân răng, tránh chải ngang. Thời gian chải tối thiểu 2 phút, mỗi ngày 2 lần.
-
Chọn bàn chải có đầu nhỏ gọn: Đầu bàn chải nhỏ như thiết kế của KaKa giúp dễ dàng tiếp cận và làm sạch mọi ngóc ngách, đặc biệt là các răng trong cùng.
-
Xây dựng chế độ ăn uống thông minh:
-
Hạn chế thực phẩm có tính axit cao và đồ ngọt.
-
Nếu dùng đồ uống có axit, nên uống bằng ống hút để giảm tiếp xúc với răng và không đánh răng ngay sau đó (đợi ít nhất 30 phút để nước bọt trung hòa axit, tránh làm mòn men đang mềm).
-
Sau khi ăn, có thể nhai kẹo cao su không đường chứa Xylitol để kích thích tiết nước bọt trung hòa axit gấp 10 lần.
-
-
Chăm sóc toàn diện: Sử dụng chỉ nha khoa hàng ngày, khám và cạo vôi răng định kỳ 6 tháng/lần tại nha khoa.
Bàn Chải KaKa - Người Bạn Đồng Hành Bảo Vệ Nụ Cười Việt
Hiểu được tầm quan trọng của việc chăm sóc răng nhẹ nhàng và hiệu quả, thương hiệu Việt KaKa đã nghiên cứu và cho ra đời các dòng bàn chải đánh răng chuyên biệt, trở thành công cụ đắc lực trong cuộc chiến phòng chống mòn men răng:
-
Thiết kế lông bàn chải tối ưu: Sợi lông PBT cao cấp, mềm mại và có độ đàn hồi tốt, giúp len lỏi làm sạch mảng bám mà không gây trầy xước bề mặt men răng.
-
Đầu bàn chải nhỏ gọn, phù hợp cấu trúc hàm người Việt: Thiết kế thon nhỏ giúp dễ dàng tiếp cận và làm sạch hiệu quả ngay cả những răng trong cùng khó chạm tới nhất.
-
Tay cầm ergonomic với đệm TPE chống trượt: Giúp người dùng cầm nắm chắc chắn và kiểm soát lực chải dễ dàng, hạn chế tình trạng dùng lực quá mạnh khi đánh răng - một nguyên nhân phổ biến gây mòn cổ răng.
-
An toàn cho sức khỏe: Được sản xuất từ chất liệu nhựa y tế cao cấp, an toàn cho người sử dụng và thân thiện với môi trường.

Chăm sóc sức khoẻ răng miệng cùng bàn chải KaKa
Bằng việc lựa chọn một công cụ chăm sóc phù hợp như bàn chải KaNa, bạn đã thực hiện bước đầu tiên và quan trọng trong việc bảo vệ men răng một cách chủ động và khoa học.
Hãy bắt đầu bảo vệ nụ cười của bạn và gia đình ngay hôm nay! Thay đổi thói quen nhỏ, chọn đúng công cụ chăm sóc chính là chìa khóa để có một hàm răng chắc khỏe, tránh xa các nguy cơ mòn men răng. Ghé thăm website KaKa để khám phá bộ sưu tập bàn chải được thiết kế chuyên biệt cho cả gia đình.



0389279669
Viết bình luận