Răng Nhạy Cảm Là Gì? 9 Nguyên Nhân Khiến Răng Ê Buốt
Răng nhạy cảm (ê buốt) là tình trạng phổ biến, gây ra cảm giác đau nhói, khó chịu khi ăn uống đồ nóng, lạnh, ngọt hoặc chua. Nguyên nhân chính là do lớp men bảo vệ răng bị mòn hoặc nướu bị tụt, làm lộ lớp ngà răng nhạy cảm bên trong.
Mỗi lần ăn kem, thưởng thức ly cà phê nóng hay cắn một miếng trái cây chua lại khiến bạn giật mình vì cơn ê buốt? Có rất nhiều người gặp phải tình trạng này. Ước tính, hơn 1 tỷ người trên toàn cầu đang đối mặt với tình trạng răng nhạy cảm. Tình trạng này không chỉ gây khó chịu mà còn có thể là “hồi chuông cảnh báo” cho những vấn đề sức khỏe răng miệng tiềm ẩn.

Răng bị ê buốt mỗi khi ăn kem
Hiểu rõ bản chất và nguyên nhân gây ê buốt là bước đầu tiên và quan trọng nhất để bạn tìm lại cảm giác thoải mái trong từng bữa ăn, nụ cười. Bài viết này, KaKa sẽ cung cấp cho bạn cái nhìn toàn diện về răng nhạy cảm và cách phòng ngừa hiệu quả.
Răng nhạy cảm là gì? Cơ chế nào gây ra cảm giác ê buốt?
Răng nhạy cảm là một bệnh lý răng miệng phổ biến. Tình trạng này xảy ra khi răng phản ứng quá mức với các kích thích thông thường như nhiệt độ (nóng, lạnh), thực phẩm (chua, ngọt) hoặc thậm chí là áp lực khi chải răng.
Để hiểu vì sao răng lại ê buốt, chúng ta cần biết cấu tạo cơ bản của một chiếc răng:
-
Men răng: Lớp ngoài cùng, cứng nhất, bao bọc và bảo vệ thân răng.
-
Ngà răng: Lớp nằm ngay dưới men răng, có cấu trúc xốp hơn, chứa hàng nghìn các ống ngà siêu nhỏ dẫn thẳng đến tủy răng.
-
Tủy răng: Là trung tâm thần kinh và mạch máu của răng, rất nhạy cảm.
Cơ chế gây ê buốt diễn ra như một phản ứng dây chuyền: Khi men răng bị mòn hoặc nướu bị tụt làm lộ chân răng (vốn không có lớp men bao phủ), lớp ngà răng nhạy cảm bên trong sẽ bị phơi nhiễm. Lúc này, các kích thích từ bên ngoài (như viên đá lạnh) sẽ truyền thẳng qua các ống ngà đến dây thần kinh trong tủy, gây ra cơn đau buốt, nhói ngắn mà bạn cảm nhận.

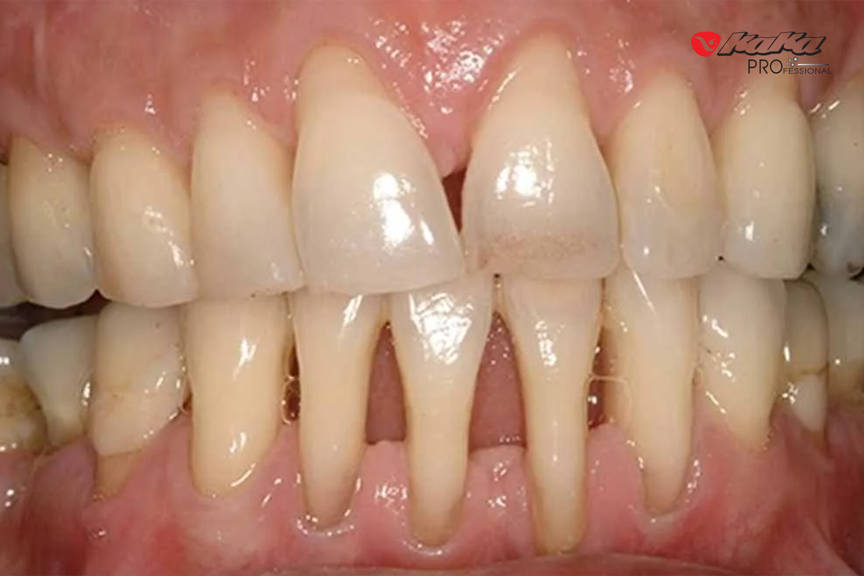
Tình trạng tụt nướu dẫn đến ê buốt chân răng
Bảng tóm tắt: Cấu trúc răng và cơ chế gây nhạy cảm
| Thành phần | Vai trò | Điều gì xảy ra khi bị tổn thương? |
|---|---|---|
| Men Răng | Lớp bảo vệ cứng chắc bên ngoài | Bị mòn, lộ lớp ngà răng bên dưới. |
| Ngà Răng | Lớp có chứa các ống thần kinh nhỏ | Bị phơi nhiễm, truyền kích thích (nóng/lạnh) đến thần kinh. |
| Nướu (Lợi) | Bao bọc và bảo vệ chân răng | Bị tụt, làm lộ bề mặt chân răng nhạy cảm. |
9 nguyên nhân phổ biến khiến răng bạn trở nên nhạy cảm
Tình trạng ê buốt không tự nhiên xuất hiện. Dưới đây là những nguyên nhân chính dẫn đến tình trạng này.
1. Đánh răng quá mạnh hoặc dùng bàn chải cứng
Đây là một trong những thói quen phổ biến nhất gây hại men răng. Chải răng theo chiều ngang với lực mạnh bằng bàn chải lông cứng không chỉ khó làm sạch kẽ răng mà còn như một hành động mài mòn cơ học, làm men răng bị bào mòn và có thể gây tụt nướu theo thời gian.
2. Thực phẩm và đồ uống có tính axit cao
Chế độ ăn nhiều axit là kẻ thù thầm lặng của men răng. Các loại thực phẩm như cam, chanh, cà chua, nước ngọt có gas, rượu vang… có thể gây ra xói mòn hóa học, làm mềm và hòa tan khoáng chất của men răng, khiến lớp bảo vệ này mỏng dần và lộ ngà răng.
3. Nghiến răng (Bruxism)
Nhiều người có thói quen nghiến hoặc siết chặt răng, đặc biệt là khi căng thẳng hoặc trong lúc ngủ. Lực tạo ra từ hành động này lớn gấp nhiều lần lực nhai bình thường, có thể làm mòn mặt nhai, nứt vỡ men răng và dẫn đến ê buốt.
4. Bệnh nha chu và tụt nướu
Khi mảng bám và cao răng tích tụ lâu ngày, chúng gây viêm nhiễm dẫn đến bệnh nha chu. Một trong những biểu hiện của bệnh là nướu bị tụt khỏi chân răng, làm lộ lớp ngà răng vốn rất nhạy cảm ở vùng này, từ đó gây ê buốt, đặc biệt là với nhiệt độ.
5. Sâu răng
Các lỗ sâu răng tạo ra đường dẫn trực tiếp cho kích thích bên ngoài (nóng, lạnh, đường) tấn công vào tủy răng. Đây là nguyên nhân cần được ưu tiên loại trừ bằng cách khám và trám răng kịp thời.

Trám răng kịp thời trước khi sâu răng lan rộng hơn
6. Răng bị nứt, mẻ hoặc miếng trám bị hở
Các vết nứt nhỏ trên răng (có thể do tai nạn, nhai vật cứng) hoặc miếng trám cũ bị hở sẽ tạo điều kiện cho vi khuẩn xâm nhập và kích thích dây thần kinh, gây đau buốt.
7. Các thủ thuật nha khoa gần đây
Cảm giác ê buốt sau khi lấy cao răng, trám răng hoặc tẩy trắng là hiện tượng tạm thời khá phổ biến và thường sẽ giảm dần sau vài ngày đến vài tuần.
8. Sử dụng quá nhiều nước súc miệng
Một số loại nước súc miệng chứa axit. Nếu sử dụng nhiều lần trong ngày và trong thời gian dài, chúng có thể làm trầm trọng thêm tình trạng ê buốt, đặc biệt ở những răng đã có ngà bị lộ.
9. Tuổi tác
Theo thời gian, nướu có xu hướng tụt dần và men răng cũng có thể bị mòn nhẹ do quá trình sử dụng lâu dài. Điều này giải thích vì sao tình trạng răng nhạy cảm thường gặp hơn ở người trung niên và cao tuổi.
Phòng ngừa và chăm sóc răng nhạy cảm tại nhà: Bắt đầu từ thói quen đánh răng
Kiểm soát răng nhạy cảm cần một giải pháp tổng thể, từ thói quen hàng ngày đến việc lựa chọn đúng dụng cụ chăm sóc.
-
Kỹ thuật đánh răng đúng: Thay vì chải ngang, hãy đặt bàn chải nghiêng một góc 45 độ so với viền nướu và chuyển động nhẹ nhàng, xoay tròn hoặc theo chiều dọc của răng. Lực vừa đủ để làm sạch mảng bám mà không gây tổn hại.
-
Lựa chọn bàn chải đánh răng phù hợp: Đây là yếu tố then chốt. Một chiếc bàn chải lông mềm như bàn chải đánh răng KaKa là lựa chọn tối ưu cho răng nhạy cảm và nướu yếu. Lông mềm mại giúp làm sạch hiệu quả mà vẫn bảo vệ men răng, đồng thời massage nướu nhẹ nhàng, ngăn ngừa tụt nướu.

Bàn chải đánh răng KaKa phù hợp cho người có răng nhạy cảm
-
Chế độ ăn uống thân thiện: Hạn chế thực phẩm có tính axit cao. Nếu dùng, nên uống nước ngay sau đó để trung hòa axit, tránh đánh răng ngay vì men răng đang ở trạng thái mềm nhất.
-
Sử dụng kem đánh răng chuyên dụng: Các loại kem đánh răng cho răng nhạy cảm chứa thành phần như Kali Nitrat hoặc Stannous Fluoride, có tác dụng bịt kín các ống ngà, giảm truyền tín hiệu đau theo thời gian.
-
Khám nha khoa định kỳ: Điều này giúp phát hiện sớm và xử lý các nguyên nhân tiềm ẩn như sâu răng, bệnh nha chu, hoặc vết nứt răng mà mắt thường không nhìn thấy.
Hiểu được tầm quan trọng của việc bảo vệ men răng và nướu nhạy cảm, thương hiệu KaKa - với kinh nghiệm nhiều năm trong lĩnh vực chăm sóc răng miệng tại Việt Nam - đã nghiên cứu và phát triển các dòng bàn chải với đầu lông siêu mềm mịn. Thiết kế này giúp tăng hiệu quả làm sạch dịu nhẹ, loại bỏ mảng bám mà hạn chế tối đa nguy cơ gây trầy xước men răng và tổn thương nướu - những nguyên nhân trực tiếp dẫn đến ê buốt. Sản phẩm sử dụng chất liệu cao cấp, an toàn cho người sử dụng.
Việc thay bàn chải 3 tháng/lần là cần thiết để đảm bảo lông bàn chải luôn trong tình trạng tốt nhất, không bị xơ cứng gây hại cho răng và nướu.
Răng nhạy cảm không phải là điều bạn phải chấp nhận sống chung suốt đời. Bằng cách hiểu rõ nguyên nhân và áp dụng ngay những biện pháp chăm sóc đơn giản, đặc biệt là lựa chọn một chiếc bàn chải lông mềm phù hợp như KaKa và kỹ thuật chải răng đúng cách, bạn hoàn toàn có thể kiểm soát và đẩy lùi cảm giác ê buốt, tận hưởng trọn vẹn niềm vui ăn uống hàng ngày.



0389279669
Viết bình luận